Bài 28: Thực hành làm sữa chua và quan sát vi khuẩn trang 96
0%
Các yêu cầu hoàn thành
BÀI 28. THỰC HÀNH LÀM SỮA CHUA VÀ QUAN SÁT VI KHUẨN
PHẦN I. HỆ THỐNG CÂU HỎI, BÀI TẬP TRONG SGK
I. CHUẨN BỊ
II. TIẾN HÀNH
III. THU HOẠCH
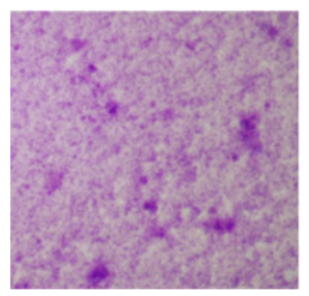
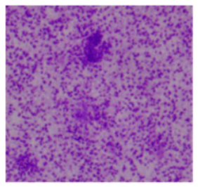
Câu hỏi: Vẽ vào vở hình ảnh vi khuẩn có trong sữa chua đã quan sát được bằng kính hiển vi ở các độ phóng đại khác nhau (vẽ thêm nếu quan sát được mẫu vi khuẩn khác).
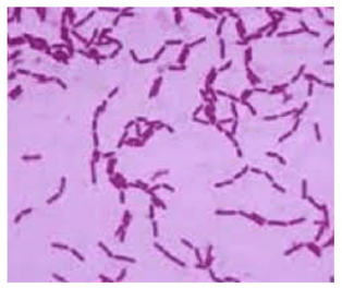
Câu hỏi: Nhận xét về hình dạng và cách sắp xếp của các vi khuẩn quan sát được.
Câu hỏi: Vì sao trong khi làm sữa chua, không dùng nước sôi để pha hộp sữa chua dùng làm giống? Sau thời gian ủ ấm hỗn hợp làm sữa chua, nếu để sản phẩm ở ngoài (không cho vào tủ lạnh) điều gì sẽ xảy ra?
PHẦN 2. 5 PHÚT TRẢ LỜI CÂU HỎI, BÀI TẬP TRONG SGK
I. CHUẨN BỊ
II. TIẾN HÀNH
III. THU HOẠCH
Đáp án CH:
|
|
|
Vật kính 10x | Vật kính 40x | Vật kính 100x |
Đáp án CH: Dạng que, đứng sắp xếp độc lập hoặc tụ lại thành chuỗi.
Đáp án CH:
- Vì vi khuẩn không sống được trong nước sôi.
- Sữa chua lên men nhanh hơn, nhanh hỏng và khó bảo quản.
Bài học này chưa được mở.


